Cincinnati Audiologist & Hearing Clinic | The Hill Hear Better Clinic

Helping Greater Cincinnati Hear Better & Reduce Tinnitus Since 1987

 

Using holistic hearing evaluation, cognitive testing, and cutting-edge technology, our experienced audiologists will get to the root cause of your hearing loss and/or tinnitus so you can hear at your highest potential and reduce your tinnitus. We have 3 convenient locations in Montgomery, Cincinnati, and Batesville, Indiana.

40% of hearing is your ears collecting sounds

Iceberg Graphic

60% of hearing is what your brain does with those sounds

If your ears are not collecting sounds properly, your brain may have difficulty with everyday functions like remembering, deciphering, recognizing, and listening.

Start Hearing Better Today
Brain Graphic

Did you know?
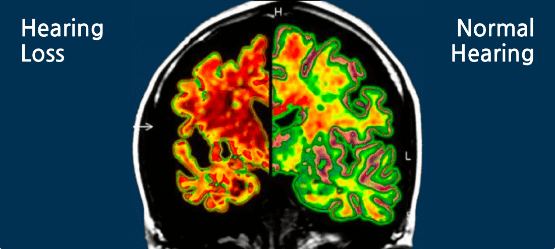
Improving hearing loss will decrease your risk of dementia and alzheimer’s.

Brain Graphic

Address Hearing Loss To Protect Cognitive Abilities

We are passionate about treating hearing loss because it’s a critical part of long-term health and well-being. Untreated hearing loss can lead to a number of health issues, so early intervention is key. Hearing loss and tinnitus are so related to cognitive decline, nothing is more rewarding to us than helping decrease a patient’s risk of dementia and Alzheimer’s through hearing treatment.

Listen To Our Clients

audio Waves

Read Our Patient Success Stories

Read Stories audio Waves

Dr. Darrow endorses The Hill Hear Better Clinic

Contact Us Today And Start Hearing Better Tomorrow

Hearing Matters

https://hillhearbetter.com/office/cincinnati-office/

Hearing Rehabilitation for Women

Why it Can Be a Game-Changer for Women with Hearing Loss This...
Read Article
hearing aids in Ohio and Indiana

Can Hearing Aids Help You Live Longer?

New Study Suggests They Might, But There’s a Catch Hey there! Ever...
Read Article
what causes tinnitus

Tinnitus Awareness Week: Recognizing the Importance of Hearing and Brain Health

Tinnitus Awareness Week highlights the importance of understanding tinnitus and its connection...
Read Article